Smile Gallery
At Richton Dental Care, we create new, healthier smiles for our patients! It's exciting to see the transformation – and the happiness on our patients' faces when they see their new smile.
Are you thinking of making a transformation and wondering what to expect?
Take a look at some of these before and after pictures from actual Richton Dental Care patients and imagine the possibilities for your own smile!
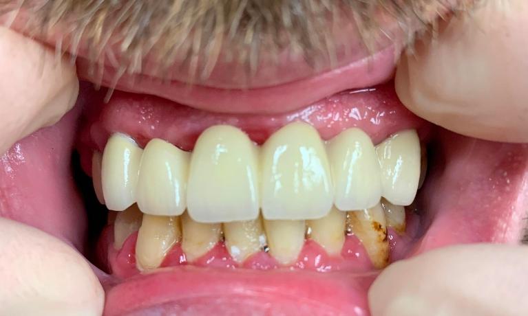
This patient has had bad teeth for hid whole life. We removed a few bad teeth on the front and replaced them with a permanent bridge. This gave him the confidence to smile again!
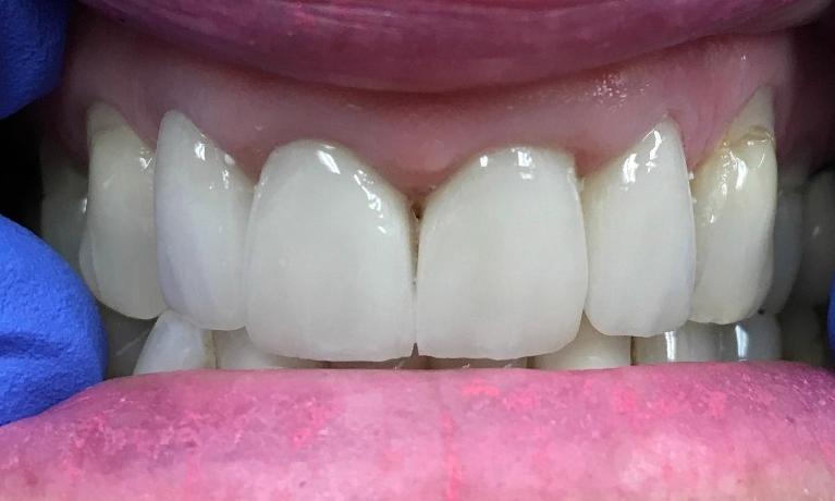
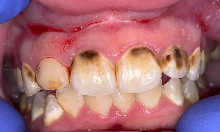
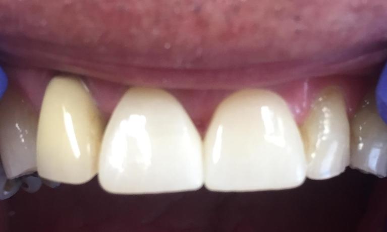
This patient came to see us because she was tired of hiding her teeth and wanted to be able to smile and not hide her mouth when she talked any more. We restored almost all of her upper teeth with life-like looking porcelain crowns. She was so excited and thrilled with the results.
This patient had braces when she was a teenager, but her teeth shifted around as she got older. We used ClearCorrect, clear aligners to give her a much straighter smile. She was only in treatment for about 6 months.
Super fast and sweet! Would highly recommend! Jess B.